Личный кабинет
Заказать обратный звонок
Ваш запрос отправлен,
администратор клиники перезвонит
Вам в ближайшее время
Если вы отправили запрос после 20:00,
администратор перезвонит
Вам на следующий день.
Записаться на прием
Ваш запрос отправлен,
администратор клиники перезвонит
Вам в ближайшее время
Если вы отправили запрос после 20:00,
администратор перезвонит
Вам на следующий день.

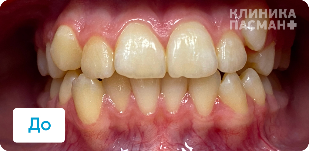
Брекеты

Это современный способ коррекции положения зубов и исправления прикуса. Ортодонт подбирает специальную ортодонтическую систему, которая мягко воздействует на зубной ряд, постепенно выравнивая его. Данный вид конструкции можно устанавливать и детям, и взрослым. Выбор брекет-системы зависит от особенностей пациента и целей лечения. Срок ношения определяется индивидуально, но в любом случае результат – ровные зубы и правильный прикус!


Брекеты

Показания к установке брекетов

1/4
Нарушен нормальный прикус
Подобная аномалия фиксируется более чем у 40% людей. Патология приводит к возникновению речевых дефектов, искажению мимики, нарушению глотательной и дыхательной функции.
Наблюдается скученность зубов
Плотное расположение зубов способствует стремительному развитию патогенной микрофлоры. Повышенная нагрузка приводит к заболеваниям десен, пришеечным дефектам и кариесу.
Челюсти развиваются непропорционально
Такая патология может возникнуть из-за привычки сосать пальцы или грызть карандаши. В результате нарушается процесс жевания.
Один или несколько зубов имеют аномальное расположение
Зубы могут быть повернуты или выдвинуты вперед. Проблема часто является следствием генетических особенностей организма. Кроме того, она может возникнуть в результате механического воздействия. Брекеты в данном случае помогут устранить физические и эстетические неудобства.

4 причины выбрать нас

Богатый практический опыт

В нашей стоматологии работают квалифицированные ортодонты. Врачи специализируются на решении задач, связанных с исправлением прикуса у взрослых и детей.

Использование новых технологий

В клинике в Новосибирске используются только высококачественные брекет-системы (металл, керамика) и элайнеры, которые не будут доставлять дискомфорт пациенту.

Все виды стоматологических услуг

Пациенты могут вылечить кариес, а также получить помощь со стороны стоматолога во время коррекции прикуса. Есть возможность недорого поставить брекеты под ключ.

Отвечаем за результат

На все выполняемые процессы дается гарантия. Клиенты будут приятно удивлены полученным результатом, ценой.

Оставьте заявку

Администратор поможет выбрать нужную услугу

1/4
Преимущества брекетов

Каждый вид брекетов характеризуется своими преимуществами и особенностями. Как показывает практика, даже самые доступные по цене модели при грамотно спланированном лечении не хуже двигают зубы, чем дорогостоящие аналоги.

С помощью брекетов можно навсегда избавиться от следующих проблем:

  • диастемы (щели между центральными резцами, чаще - верхними);
  • дефектов прикуса;
  • эстетических несовершенств;
  • подготовиться к установке имплантов;
  • устранить неправильное развитие челюстей у ребенка;
  • устранить сложности с произношением звуков и жеванием пищи.
Противопоказания

При выборе брекетов важно ориентироваться на советы врача, а также на финансовые возможности и эстетические пожелания. Не последнюю роль в решении этого вопроса играют и основные противопоказания:

  • наличие зубов, требующих удаления или лечения;
  • иммунные патологии;
  • вокруг зуба костная ткань имеет недостаточную плотность;
  • есть аллергия на материалы, которые используются в брекетах.
Виды устанавливаемых брекетов

В Клинике Пасман устанавливаются самолигирующие брекеты двух видов: металлические и керамические. 

Самолигирующие металлические брекеты:

  • Принцип работы: дуга фиксируется в замочке без резиновых лигатур, что снижает трение и ускоряет перемещение зубов.
  • Преимущества: высокая прочность и надежность конструкции, минимальный риск поломок, гигиена полости рта упрощена за счет гладкой поверхности.
  • Особенности: оптимальны для сложных случаев коррекции, требуют корректировки раз в 6–8 недель, подходят тем, кто ценит эффективность и долговечность.

Самолигирующие керамические брекеты:

  • Принцип работы: та же безлигатурная система, но замочки выполнены из керамики цвета зубов.
  • Преимущества: эстетическая незаметность при разговоре и улыбке, комфортное давление на зубы, реже требуют смены активных элементов.
  • Особенности: осторожность при твердой пище (керамика менее ударопрочна), срок корректировок – 6–8 недель, идеальны для пациентов, желающих сочетать эффективность с аккуратным внешним видом.
Как ухаживать за брекетами

Правильный уход за брекет-системой обеспечивает эффективность лечения и здоровье полости рта. Основные аспекты ухода:

  • Домашняя гигиена
    Ежедневная чистка зубов после каждого приема пищи — залог чистоты брекетов и здоровья десен. Используйте зубную щетку с мягкой щетиной или специальную ортодонтическую насадку, а также межзубные ершики и ирригатор, чтобы удалять остатки пищи вокруг дуг и под скобами. Нитевдеватели помогут аккуратно очистить промежутки между зубами, не повреждая систему.
  • Питание
    Чтобы защитить брекеты от поломки и эмаль от кариеса, откажитесь от твердых, липких и красящих продуктов. Избегайте орехов, карамели, твердой кожицы фруктов и сладких газировок: твердые продукты перед едой лучше резать на небольшие кусочки, а напитки заменять водой или несладким чаем.
  • Профессиональная гигиена
    Каждые 3-4 месяца посещайте стоматолога-гигиениста для ультразвуковой чистки и AIR-FLOW. Такие процедуры удаляют зубной камень, пигментные отложения и укрепляют эмаль: фторлаки и реминерализующие гели помогают предупредить образование кариеса вокруг брекетов.
  • Посещение ортодонта
    Соблюдайте график корректировок каждые 4–8 недель: врач проверит натяжение дуг, заменит эластики и оценит прогресс выравнивания зубов. При дискомфорте, отклеившихся скобах или боли записывайтесь на внеплановый прием, чтобы избежать задержек в лечении и осложнений.
Получить консультацию

Врачи — эксперты международного уровня

Этапы установки брекетов

1/6
1. Консультация ортодонта

На встрече с врачом пациент может задать интересующие его вопросы, рассказать о своих целях и ожиданиях.

Доктор составит начальный план действий, озвучит ориентировочные сроки и стоимость.

2. Диагностика и составление плана лечения

Необходимо сделать ОПГ или КТ, ТРГ, фотоснимки зубов и лица, 3D сканирование зубов.

После диагностических мероприятий специалист проанализирует данные, разработает план лечения, назначит день/время установки брекетов.

3. Санация

Перед процедурой по установке брекетов следует провести полную санацию и гигиену ротовой полости.

4. Установка брекет-систем под ключ

Ортодонтическая коррекция может осуществляться с помощью самолигирующихся металлических или самолигирующихся керамических брекет-систем.

Самолигирующиеся (безлигатурные) брекеты имеют крышечки на замочках, через которые продевается дуга.

5. Корректировка (контрольные визиты)

Каждые 4–8 недель пациент приходит на прием к ортодонту. Цель визита: осмотр динамики перемещения зубов и своевременное устранение отклонений, замена или активация дуг, эластиков и других активных элементов для поддержания оптимального давления на зубы, проверка гигиены полости рта, целостности брекетов и мотивация пациента к уходу.

6. Снятие брекетов и ретенционный этап

После завершения активного периода выравнивания врач аккуратно снимет брекеты (30-40 минут), используя специальные щипцы и инструменты. Остатки адгезивного композита снимаются с эмали, поверхность зубов шлифуется и полируется — процедура безболезненна и занимает 45-60 минут у гигиениста. После этого пациент сразу видит результат: ровную улыбку и чувство легкости при жевании и разговоре.

Для сохранения достигнутого положения зубов устанавливают ретейнеры. Ретейнер - это тонкая проволока, которая приклеивается на внутреннюю сторону фронтальных зубов и служит надежной «страховкой» от смещения.

Оставьте заявку

Администратор поможет выбрать нужную услугу и записать на приём к врачу

Выполненные работы

Исправление прикуса

Специальные предложения

Все предложения

Отзывы

Лечила(спасала) зуб 4 канала ,я очень рада что познакомилась с Еленой Германовной и Ликой, чудесный и чуткий врач ,в клинике чисто и стерильно, хорошие препараты, у меня анестезия проходила безболезненно ничего не болело и ничего не пила после ,помощ... Читать далее
Madina 23.11.2024
Лечила(спасала) зуб 4 канала ,я очень рада что познакомилась с Еленой Германовной и Ликой, чудесный и чуткий врач ,в клинике чисто и стерильно, хорошие препараты, у меня анестезия проходила безболезненно ничего не болело и ничего не пила после ,помощница в тандеме с врачом аккуратно и не больно пролечили за что я очень благодарна им и клинике. Процветания и благодарных посетителей.
23.11.2024
Здравствуйте, Madina! Спасибо за высокую оценку работы наших врачей! У нас работают только профессионалы своего дела. Желаем здоровья и отличного настроения! С уважением, Служба сервиса и заботы Клиники Пасман
26.11.2024
Лечимся у Ирины Дмитриевны! Прекрасный врач, перфекционист. С подростком нашла общий язык и самое главное, дочь её слушается и все выполняет! Продолжаем лечение! Читать далее
Валентина 06.02.2024
Лечимся у Ирины Дмитриевны! Прекрасный врач, перфекционист. С подростком нашла общий язык и самое главное, дочь её слушается и все выполняет! Продолжаем лечение!
06.02.2024
Здравствуйте. Спасибо, что выбрали нас и доверились нашему доктору. Нам очень приятно получать такие замечательные отзывы! Будьте здоровы! С уважением, Служба сервиса и заботы Клиники Пасман
07.02.2024
Постоянно хожу на чистку зубов к Колмаковой Наталье Игоревне. Сегодня была уже в новом отделении. Как же оно прекрасно! Уютно, красиво, просторно, все новенькое! Чистку у Натальи Игоревны рекомендую всем. Этот доктор максимально доброжелательный и та... Читать далее
Людмила 10.01.2024
Постоянно хожу на чистку зубов к Колмаковой Наталье Игоревне. Сегодня была уже в новом отделении. Как же оно прекрасно! Уютно, красиво, просторно, все новенькое! Чистку у Натальи Игоревны рекомендую всем. Этот доктор максимально доброжелательный и тактичный, работает очень аккуратно и бережно, чистит зубы настолько тщательно и не больно! Боюсь чистки и всех манипуляций с зубами, а у нее просто сплю.
10.01.2024
Здравствуйте. Спасибо, врачу будет очень приятно получить такой отзыв. Мы стараемся, чтобы каждый визит к нам был комфортным, а лечение – эффективным. Будьте здоровы! С уважением, служба сервиса и заботы "Клиники Пасман"
12.01.2024
Была у Светланы Евгеньевны на профессиональной гигиене. Честно, в восторге. Сама атмосфера в кабинете чудесная царила. Врач настолько позитивный, что оставил только положительные эмоции. Все время я ходила на чистки, как только начнет кровить десна. ... Читать далее
Юлия 10.01.2024
Была у Светланы Евгеньевны на профессиональной гигиене. Честно, в восторге. Сама атмосфера в кабинете чудесная царила. Врач настолько позитивный, что оставил только положительные эмоции. Все время я ходила на чистки, как только начнет кровить десна. Тут мне открыли глаза, что это не моя особенность. десна выглядит иначе, я в шоке. Доктор помог определиться с зубной пастой, щеткой. Прием доктор вел профессионально. Очень рада, что нашла такого специалиста. Удобно, что сразу предлагают сделать рентген зубов и осмотр терапевта. Уже точно знаю, что буду ходить к этому доктору и в эту клинику. Визит прошел без задержек.
10.01.2024
Здравствуйте. Спасибо, что нашли время написать такой подробный и приятный для доктора отзыв. Мы делаем всё возможное, чтобы наши пациенты были довольны лечением. Будьте здоровы! С уважением, Служба сервиса и заботы Клиники Пасман
13.01.2024
Хочу выразить благодарность Блохиной Елене Германовне, замечательному стоматологу и конечно человеку. Поход к стоматологу, это непростое решение, найти профессионала в своем деле, так же проблематично в наше время. Выбор был сделан на клинику пасман,... Читать далее
Евгеша 09.12.2023
Хочу выразить благодарность Блохиной Елене Германовне, замечательному стоматологу и конечно человеку. Поход к стоматологу, это непростое решение, найти профессионала в своем деле, так же проблематично в наше время. Выбор был сделан на клинику пасман, так как зарекомендовала клиника себя с хорошей стороны , лечилась у других врачей, успешно. Несмотря на сложный случай с лечением зубов, Елена Германовна сделала работу безупречно, боли не чувствовала, во время процедуры всегда интересовалась моим самочувствием, доброе с пониманием отношение. Чувствовала себя комфортно. Благодарю и конечно рекомендую всем!
09.12.2023
Добрый день, Евгеша. Благодарим за то, что поделились своим впечатлением о нашей работе. Мы рады, что вы остались довольны обращением в нашу медицинскую клинику и отметили работу Елены Германовны, она прекрасный, внимательный доктор и отличный специалист. Обещаем и впредь соответствовать вашим ожиданиям. Желаем вам здоровья и всего самого лучшего. Будем рады помочь в следующий раз. С уважением, Суконнова Диана руководитель отдела клиентского сервиса Клиника Пасман
10.12.2023
Появилась необходимость удалить три зуба мудрости. Боялся боли и самого факта удаления. Укол и само удаление прошло абсолютно безболезненно и быстро. Меня проконсультировали, объяснили, что и как мне будут делать. Анестезия после удаления прошла быст... Читать далее
Александр 29.11.2023
Появилась необходимость удалить три зуба мудрости. Боялся боли и самого факта удаления. Укол и само удаление прошло абсолютно безболезненно и быстро. Меня проконсультировали, объяснили, что и как мне будут делать. Анестезия после удаления прошла быстро. Место удаления не болело. Огромное спасибо Макриди Николаю Юрьевичу за его профессионализм и лёгкую руку. Однозначно рекомендую обращаться к нему.
29.11.2023
Здравствуйте. Спасибо, приятно читать такой отзыв о работе наших врачей. Мы работаем ради того, чтобы вы хорошо себя чувствовали. Будьте здоровы! С уважением, Татьяна Успенская, специалист по связям с общественностью.
07.12.2023
Здравствуйте. 08.11.2023 я закончила лечение брекет-системой. 1 год и 9 месяцев ушло для получения желаемого результата. К Дмитрию Владимировичу пришла по рекомендации подруги, а сегодня смело могу сама его порекомендовать. Врач, видящий нюансы и име... Читать далее
Марина 10.11.2023
Здравствуйте. 08.11.2023 я закончила лечение брекет-системой. 1 год и 9 месяцев ушло для получения желаемого результата. К Дмитрию Владимировичу пришла по рекомендации подруги, а сегодня смело могу сама его порекомендовать. Врач, видящий нюансы и имеющий желание довести результат до наилучшего из возможного, вселяет доверие.
10.11.2023
Здравствуйте. Спасибо, что написали отзыв. Мы обязательно покажем его доктору. Будьте здоровы! С уважением, Татьяна Успенская, специалист по связям с общественностью.
11.11.2023
Пришла к Анастасии Владимировне на первичный осмотр по отзывам. В ходе осмотра доктор всё подробно объяснила, рассказала, показала, составила план лечения, обозначила критичность лечения каждого зуба. Также обозначила какие именно зубки можно полечит... Читать далее
Наталья 08.11.2023
Пришла к Анастасии Владимировне на первичный осмотр по отзывам. В ходе осмотра доктор всё подробно объяснила, рассказала, показала, составила план лечения, обозначила критичность лечения каждого зуба. Также обозначила какие именно зубки можно полечить по ДМС, сама запросила гарантийное письмо в моей страховой компании. Записались сразу на следующий этап лечения, а также на гигиеническую чистку к другому специалисту. Первый этап лечения уже прошла. Всё прошло очень комфортно и безболезненно. Пока ничего не беспокоит и не мешает, визуально даже пломбочки красивые получились. :) С удовольствием продолжу лечение у Анастасии Владимировны.
08.11.2023
Здравствуйте. Спасибо, что выбрали нас и доверились нашему доктору. Нам очень приятно получать такие замечательные отзывы! Будьте здоровы! С уважением, Татьяна Успенская, специалист по связям с общественностью.
09.11.2023
Обратилась к доктору Лермонтовой по совету ее коллеги и очень рада, потому что Наталья Николаевна - очень внимательный, чуткий, доброжелательный врач, настоящий профессионал. Выполняет свою работу быстро, качественно и без боли. Если вы еще не нашли ... Читать далее
Светлана 25.10.2023
Обратилась к доктору Лермонтовой по совету ее коллеги и очень рада, потому что Наталья Николаевна - очень внимательный, чуткий, доброжелательный врач, настоящий профессионал. Выполняет свою работу быстро, качественно и без боли. Если вы еще не нашли своего стоматолога, рекомендую обратиться к Наталье Николаевне.
25.10.2023
Здравствуйте. Спасибо, что написали отзыв. Мы обязательно покажем его доктору. Будьте здоровы! С уважением, Татьяна Успенская, специалист по связям с общественностью.
27.10.2023
В целом, впечатления от первого посещения Анастасии Владимировны у меня остались хорошие. Никаких претензий у меня к ней нет, всё было по делу. Доктор не торопилась, провела осмотр и консультацию. На приёме мне было комфортно. Кайгородова А.В. показа... Читать далее
Денис 21.10.2023
В целом, впечатления от первого посещения Анастасии Владимировны у меня остались хорошие. Никаких претензий у меня к ней нет, всё было по делу. Доктор не торопилась, провела осмотр и консультацию. На приёме мне было комфортно. Кайгородова А.В. показалась вполне компетентным специалистом. Врач уточнила некоторые моменты, спросила об истории болезни. По моему мнению, она заинтересована в оказании помощи своим пациентам. По итогу встречи доктор составила план лечения. И, скорее всего, для проведения процедур я обращусь к этому врачу. Порекомендую ее родным и знакомым.
21.10.2023
Здравствуйте. Спасибо, нам важно знать, как пациенты оценивают приём доктора. Мы делаем всё возможное, чтобы каждый пациент оставался доволен на все 100%. Будьте здоровы! С уважением, Татьяна Успенская, специалист по связям с общественностью.
21.10.2023
Удаляла зуб мудрости, очень боялась, но все прошло очень быстро и безболезненно. Вся операция заняла около 10-ти минут. После удаления ничего не болело и не опухало, никаких осложнений не было. Всем рекомендую обращаться к Николаю Юрьевичу. Читать далее
Светлана 08.09.2023
Удаляла зуб мудрости, очень боялась, но все прошло очень быстро и безболезненно. Вся операция заняла около 10-ти минут. После удаления ничего не болело и не опухало, никаких осложнений не было. Всем рекомендую обращаться к Николаю Юрьевичу.
08.09.2023
Добрый день. Спасибо за ваш отзыв и доверие – мы это очень ценим. Обязательно передадим слова благодарности Николаю Юрьевичу. Желаем вам здоровья и всего самого лучшего, а в случае необходимости обращайтесь к нам в следующий раз - будем рады помочь. С уважением, Суконнова Диана, руководитель отдела клиентского сервиса
08.09.2023
Требовалась установка сразу 3 имплантов. Операция прошла быстро. Болевых ощущений не было. Даже при введении анестезии. В течение операции врач интересовался состоянием и ощущениями. После дали подробные рекомендации. Что было для меня удивлением. По... Читать далее
Ангелина 28.07.2023
Требовалась установка сразу 3 имплантов. Операция прошла быстро. Болевых ощущений не было. Даже при введении анестезии. В течение операции врач интересовался состоянием и ощущениями. После дали подробные рекомендации. Что было для меня удивлением. После я выпила только один раз обезболивающее в день операции. Болей не было совсем. Даже после того, как анестезия отошла. Отека тоже не было. В общем, больше боялась. На самом деле операция и заживление имплантов прошли успешно и безболезненно. Если попасть к правильному врачу. Спасибо за профессионализм и легкую руку.
28.07.2023
Здравствуйте. Спасибо, что нашли время написать такой подробный и приятный для доктора отзыв. Мы делаем всё возможное, чтобы наши пациенты были довольны лечением. Будьте здоровы! С уважением, Татьяна Успенская, специалист по связям с общественностью.
03.08.2023
Доктор располагает к себе сразу. Внимательная, ответственная, деликатная, заботливая. Так относится к пациенту, будто делает для себя! Переделала мне пломбу, которая меня очень беспокоила, которую ранее делали и переделывали в другой клинике. Наталья... Читать далее
Светлана 12.07.2023
Доктор располагает к себе сразу. Внимательная, ответственная, деликатная, заботливая. Так относится к пациенту, будто делает для себя! Переделала мне пломбу, которая меня очень беспокоила, которую ранее делали и переделывали в другой клинике. Наталья Николаевна сделала работу идеально! Также объяснила, что было не так, и как она исправила ситуацию. Во время лечения чувствуешь себя так комфортно, чуть не засыпаешь. К каждому случаю кариеса подходит индивидуально: уже лечить или ещё понаблюдать, использовать минерализирующий гель. Не пропишет лишнего лечения. Я посоветовала доктора мужу, сестре. Тоже пролечились.[...] Это одна из лучших стоматологов, кого мы встречали в жизни. Настоящий профессионал! Очень рекомендую. Попала к врачу практически случайно. В марте я проходила в клинике УЗИ. В отделении стоматологии в это время была акция: бесплатный 3d-снимок всех зубов, консультация. Пошла, не ожидая ничего особенного. [...] Но Наталья Николаевна приятно удивила: тактичная, внимательная, в ней сразу чувствуется профессионал. После консультации я записалась на лечение.
12.07.2023
Здравствуйте. Спасибо, что нашли время написать такой подробный и приятный для доктора отзыв. Мы делаем всё возможное, чтобы наши пациенты были довольны лечением. Будьте здоровы! С уважением, Татьяна Успенская, специалист по связям с общественностью.
14.07.2023
Руки как обезболивающее. Всё подробно объясняют и показывают. Внимательность. Тихо, спокойно, быстро. Отзывчивая медсестра. Я - обладательница маленького рта и огромных отвратительных восьмёрок. Надо было удалять ещё одну, верхнюю, которая не пророс... Читать далее
Ольга 16.06.2023
Руки как обезболивающее. Всё подробно объясняют и показывают. Внимательность. Тихо, спокойно, быстро. Отзывчивая медсестра. Я - обладательница маленького рта и огромных отвратительных восьмёрок. Надо было удалять ещё одну, верхнюю, которая не проросла и находилась над семёркой (ретинированная восьмёрка). Был печальный опыт удаления в другой клинике. Но тут нашла Николая Юрьевича. Человек - руки-обезболивающее! На консультации всё выслушал внимательно, всё посмотрел, всё рассказал. Ещё и на снимках показал. Так что я чётко понимала, что будет происходить. Это решает, когда ты лежишь с открытым ртом и не можешь ничего контролировать. :) Уколы обезболивающего сделаны быстро, аккуратно. И не приходилось в процессе докалывать. Само удаление прошло тоже тихо, спокойно, аккуратно. Помощница - супер! Восстановление прошло быстро и безболезненно. Через неделю сняли швы. И всё супер. Жую и радуюсь. :) Однозначно рекомендую. Очень человечно и профессионально.
16.06.2023
Здравствуйте. Спасибо, что нашли время написать такой подробный и приятный для доктора отзыв. Мы делаем всё возможное, чтобы наши пациенты были довольны лечением. Будьте здоровы! С уважением, Татьяна Успенская, специалист по связям с общественностью.
23.01.2026
Обратилась в клинику из-за острой зубной боли, оперативно сделали снимок, проконсультировали, что зуб нужно удалять. Удаление и период после прошли хорошо, спасибо большое хирургу и его ассистенту. :) Читать далее
Юлия 15.06.2023
Обратилась в клинику из-за острой зубной боли, оперативно сделали снимок, проконсультировали, что зуб нужно удалять. Удаление и период после прошли хорошо, спасибо большое хирургу и его ассистенту. :)
15.06.2023
Здравствуйте. Спасибо, врачу будет очень приятно получить такой отзыв. Мы стараемся, чтобы каждый визит к нам был комфортным, а лечение – эффективным. Будьте здоровы! С уважением, Татьяна Успенская, специалист по связям с общественностью.
23.01.2026
Все отзывы

Рейтинг клиники на независимых источниках



Наши достижения

20 лет
работаем для вас
3 филиала
стараемся быть ближе
53 направления
комплексный подход
250 000 пациентов
доверяют нам своё здоровье

Вопросы и ответы

Стоимость брекетов формируется индивидуально и зависит от множества факторов: выбранного типа системы (металлические, керамические), особенностей вашей клинической ситуации, сложности коррекции прикуса, а также материалов и технологии изготовления конструкции. Влияют и ваши личные пожелания к эстетике, и необходимый график посещений врача. Точная цена лечения определяется после консультации, диагностики и составления персонального плана. Чтобы узнать, сколько будут стоить брекеты именно для вас, рекомендуем записаться на прием к ортодонту — специалист подробно расскажет о вариантах и рассчитает стоимость под вашу ситуацию.

Брекеты обычно устанавливают после того, как у ребенка полностью прорезались постоянные зубы — чаще всего это происходит в возрасте 12–14 лет, когда челюсть еще достаточно податлива для коррекции, а зубы уже крепкие и готовы к нагрузке. В отдельных случаях ортодонт может рекомендовать специальные конструкции раньше, но классические брекет-системы применяют именно в подростковом возрасте. Для взрослых ограничений по возрасту нет — брекеты можно ставить в любом возрасте, если нет противопоказаний по состоянию зубов и десен. Оптимальный момент для начала лечения определяет врач после диагностики и оценки индивидуальных особенностей пациента.

Средний срок ношения брекетов составляет от 1 до 3 лет, и этот период зависит от множества факторов: возраста пациента, сложности и типа ортодонтической патологии, а также выбранной брекет-системы. У детей и подростков исправление прикуса проходит быстрее из-за большей податливости тканей, обычно достаточно 1–1,5 лет, тогда как взрослым зачастую требуется 2–3 года, поскольку процессы регенерации с возрастом замедляются.

Точные сроки определяются индивидуально после консультации с врачом-ортодонтом, который учитывает особенности строения зубочелюстной системы и степень выраженности нарушений. В период ношения брекетов важно регулярно посещать врача для коррекций — это условие эффективного и безопасного лечения.

Выбор между брекетами и элайнерами зависит от индивидуальных особенностей и целей лечения. Брекеты эффективнее справляются со сложными случаями неправильного прикуса, когда требуется серьезная коррекция положения зубов или значительное перемещение. Они постоянно находятся во рту, что обеспечивает непрерывное воздействие, но сопровождаются эстетическими и бытовыми неудобствами — заметность и возможные ограничения в питании.

Элайнеры — это прозрачные съемные каппы, которые подходят для коррекции несложных и среднетяжелых дефектов прикуса. Их основное преимущество — комфорт и эстетика: их можно снимать во время еды и чистки зубов. Однако эффективность элайнеров во многом зависит от самодисциплины пациента: каппы нужно носить не менее 20–22 часов в сутки; кроме того, серьезные аномалии они скорректировать не смогут. Оптимальный выбор определяет ортодонт после диагностики, учитывая ваши пожелания и медицинские показания.

Удаление зубов перед установкой брекетов требуется далеко не всем пациентам: экстракция проводится только при выраженной скученности или неправильном положении зубов, когда без создания дополнительного пространства невозможно безопасно выровнять ряд. Чаще всего удаляют ретинированные или потенциально проблемные «восьмерки», реже ‒ первые премоляры; это сразу дает 6–8 мм места для перемещения остальных единиц. Вопрос «удалять или нет» всегда индивидуален и обсуждается на консультации с ортодонтом.

Остались вопросы?

Администратор поможет выбрать нужную услугу

Свяжитесь с нами




Записаться на прием

Оставить заявку

Оставить отзыв

Оставить жалобу

Задать вопрос

Отклик на вакансию

Резюме в форматах doc, docx, pdf или rtf

Записаться на онлайн-консультацию