Личный кабинет
Заказать обратный звонок
Ваш запрос отправлен,
администратор клиники перезвонит
Вам в ближайшее время
Если вы отправили запрос после 20:00,
администратор перезвонит
Вам на следующий день.
Записаться на прием
Ваш запрос отправлен,
администратор клиники перезвонит
Вам в ближайшее время
Если вы отправили запрос после 20:00,
администратор перезвонит
Вам на следующий день.
Ермакова Ирина Дмитриевна
врач – стоматолог-ортодонт
стаж — 8 лет

Ермакова
Ирина Дмитриевна

врач – стоматолог-ортодонт
стаж — 8 лет
О специалисте
  • Следит за правильным формированием прикуса у детей, восстанавливает правильное положение зубов у детей и взрослых.
  • Проведет визуальную диагностику и рекомендует 3D-томографию, если необходимо.
  • Осмотрит и изучит снимки челюсти
  • Оценит состояние и положение зубов.
  • Подведет итоги и составит план лечения.
  • Выберет вариант лечения будет наиболее эффективен. 
  • Доктор придерживается органосохраняющей методике, если возможно, обойдется без удаления зубов.


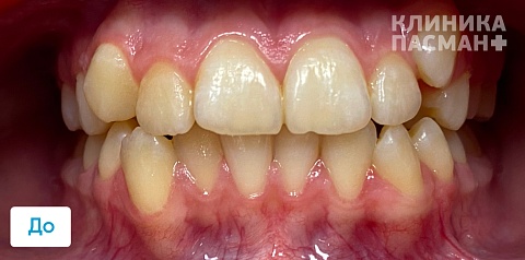
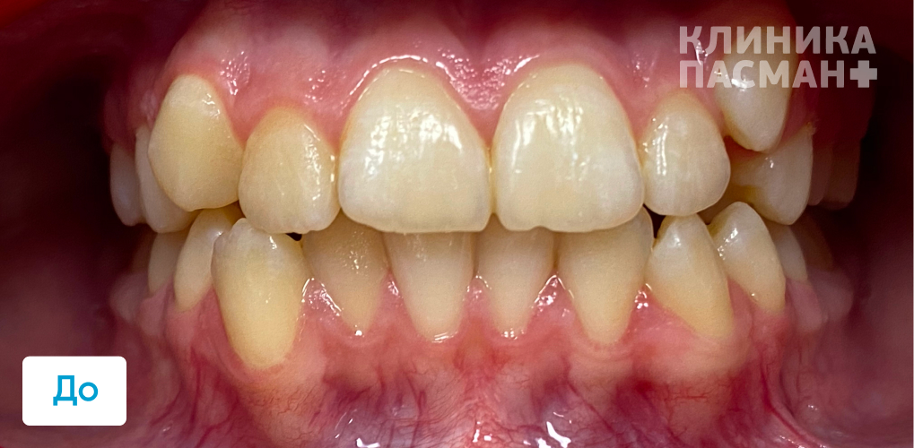
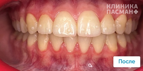
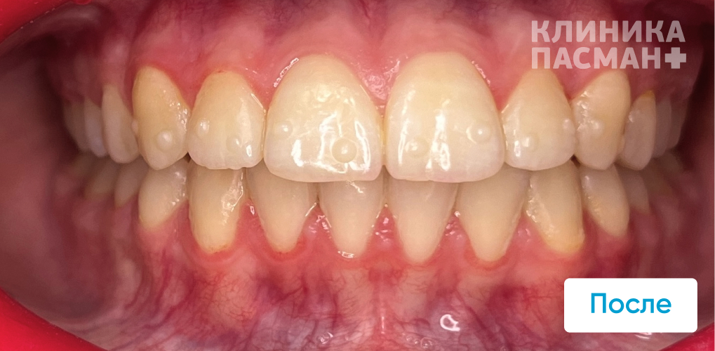
Результаты лечения

Исправление прикуса

Услуги
Брекеты,
Исправление прикуса

Услуги
Брекеты,

Образование

2021
Сертификат участника XXI съезда ортодонтов России, Москва
2020
Сертификат о прохождении авторского курса С.А. Попова: «Ортодонт-мастер»
2019
Сертификат участника XX съезда ортодонтов России, Сочи
2019
Сертификат о прохождении курса: Использование флексиков в сменном прикусе, Flexi Ligner
2019
Сертификат о прохождении курса: «Флексы, как прогрессивный метод лечения в современной ортодонтии», Flexi Ligner
2019
Сертификат специалиста: «Ортодонтия», Новосибирский государственный медицинский университет
2019
Ординатура: «Ортодонтия», Новосибирский государственный медицинский университет
2017
Диплом о высшем образовании: специальность «Стоматология», Новосибирский государственный медицинский университет
Показать все

Что говорят пациенты

Валентина 06 февраля 2024
Лечимся у Ирины Дмитриевны! Прекрасный врач, перфекционист. С подростком нашла общий язык и самое главное, дочь её слушается и все выполняет! Продолжаем лечение!

Цены на услуги

Ортодонтия
Первичная консультация стоматолога-ортодонта
1 650 ₽
Повторная консультация стоматолога-ортодонта
1 100 ₽
Ортодонтическая коррекция с применением съёмного миофункционального аппарата froggy mouth, Ермакова И.Д.
20 000 ₽
Диагностическое исследование с применением электромиографии
3 000 ₽
Снятие оттиска с одной челюсти альгинатной массой врачом-ортодонтом, Ермакова И.Д.
1 600 ₽
Снятие, постановка коронки, кольца ортодонтических, брекетов с 1ой челюсти, Ермакова И.Д.
5 500 ₽
Ортодонтическая коррекция съемным ортодонтическим аппаратом Элайнеры детские (предоплата), Ермакова И.Д.
156 500 ₽
Ортодонтическая коррекция съемным ортодонтическим аппаратом (ортодонтический эластопозиционер "корректор"), Ермакова И.Д.
17 000 ₽
Консультационный прием у ортодонта для пациентов, проходящих лечение у другого специалиста, Ермакова И.Д.
5 500 ₽
Ортодонтическая коррекция с использованием несъёмного функционального аппарата, Ермакова И.Д.
49 000 ₽
Установка ретейнера, Ермакова И.Д.
8 400 ₽
Ортодонтическая коррекция съемным ортодонтическим аппаратом Элайнеры (повторное посещение), Ермакова И.Д.
10 000 ₽
Ортодонтическая коррекция съемным ортодонтическим аппаратом Элайнеры (предоплата), Ермакова И.Д.
165 000 ₽
Ортодонтическая коррекция съемным ортодонтическим аппаратом (окклюзионная шина), Ермакова И.Д.
61 000 ₽
Расширенная ортодонтическая диагностика, Ермакова И.Д.
22 000 ₽
Брекеты
Ортодонтическая коррекция с применением брекет-системы самолигирующей металлической (одна челюсть), Ермакова И.Д.
49 000 ₽
Ортодонтическая коррекция с применением брекет-системы самолигирующей керамической (одна челюсть), Ермакова И.Д.
72 500 ₽
Ортодонтическая коррекция с применением брекет-системы металлической (одна челюсть), Ермакова И.Д.
30 000 ₽
Спецпредложение_Ортодонтическая коррекция с применением брекет-системы самолигирующей керамической (одна челюсть)
57 000 ₽

Рейтинг клиники на независимых источниках



Наши достижения

20 лет
работаем для вас
3 филиала
стараемся быть ближе
53 направления
комплексный подход
250 000 пациентов
доверяют нам своё здоровье

Свяжитесь с нами




Записаться на прием

Оставить заявку

Оставить отзыв

Оставить жалобу

Задать вопрос

Отклик на вакансию

Резюме в форматах doc, docx, pdf или rtf

Записаться на онлайн-консультацию