Личный кабинет
Заказать обратный звонок
Ваш запрос отправлен,
администратор клиники перезвонит
Вам в ближайшее время
Если вы отправили запрос после 20:00,
администратор перезвонит
Вам на следующий день.
Записаться на прием
Ваш запрос отправлен,
администратор клиники перезвонит
Вам в ближайшее время
Если вы отправили запрос после 20:00,
администратор перезвонит
Вам на следующий день.
Лермонтова Наталья Николаевна

Лермонтова
Наталья Николаевна

врач – стоматолог-терапевт
стаж — 11 лет
Прием: 1750 ₽ Есть прием по ДМС
врач – стоматолог-терапевт
стаж — 11 лет
Прием: 1750 ₽ Есть прием по ДМС
Видеовизитка
Наталья Николаевна занимается лечением кариеса и пульпита, реставрацией зубов и восстановлением эмали
Если Вас беспокоит зубная боль, чувствительность, дискомфорт в ротовой полости, запишитесь на консультацию. Доктор проведет осмотр и подберет оптимальную тактику лечения.

Специализация

Наталья Николаевна Лермонтова — врач-стоматолог-терапевт, который сочетает передовые технологии с индивидуальным подходом.


Основные направления работы:

  • Лечение кариеса эмали на начальных стадиях — сохраняем здоровые ткани и предотвращаем осложнения
  • Эндодонтическое лечение пульпита и периодонтита 1,2,3,4-канального зуба
  • Художественная реставрация зубов — восстанавливаем естественную форму, цвет и функцию
  • Лечение кариеса под микроскопом — ювелирная точность, контроль каждого этапа и максимальное сохранение здоровых тканей
Аккредитация по специальности «Стоматология терапевтическая» до 24.12.2029 г.

Образование

2020
Сертификат специалиста: «Стоматология терапевтическая», Кемеровский государственный медицинский университет
2014
Интернатура: «Стоматология», Новосибирский государственный медицинский университет
2013
Диплом о высшем образовании: «Стоматология», Новосибирский государственный медицинский университет
1/3

Примеры работ

На фотографиях представлен результат лечения кариеса в стадии пятна методом инфильтрации ICON. На снимке «до» — начальное кариозное поражение эмали в виде белого пятна, которое часто возникает после снятия брекетов при недостаточной гигиене. На снимке «после» — полностью восстановленная эмаль: пятно исчезло, цвет зуба выровнялся, а структура тканей сохранена. 
Метод ICON позволяет вылечить кариес на самой ранней стадии без бормашины и препарирования. Это щадящая технология, которая останавливает развитие кариеса и возвращает зубу естественный вид всего за один визит. Результат — здоровые зубы и красивая улыбка без сверления и пломб.
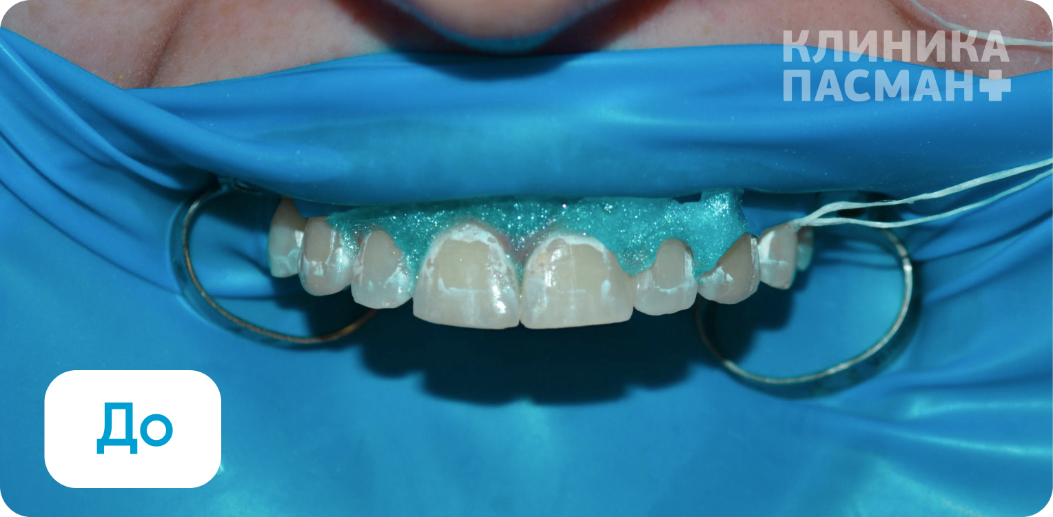
На фотографиях представлен результат лечения множественных белых пятен на верхних зубах методом инфильтрации ICON. На снимке «до» — характерные белые меловидные пятна на эмали, которые нередко появляются после ношения брекет-систем из-за сложности гигиены. На снимке «после» — эмаль полностью восстановлена: пятна исчезли, цвет зубов выровнялся, поверхность стала гладкой и здоровой. 
Метод ICON позволяет справиться с начальным кариесом и поствоспалительными пятнами без бормашины и препарирования. Это щадящая технология, которая проникает в пористую эмаль, укрепляет её и возвращает зубам естественный вид всего за один визит. Результат — красивая улыбка без сверления и пломб.
На фотографиях представлен результат прецизионного лечения кариеса с использованием операционного микроскопа. На снимке «до» — кариозная полость, требовавшая особой тщательности при обработке из-за близости к пульпе. На снимке «после» — зуб восстановлен с анатомически точной формой и естественным цветом. 
Благодаря многократному увеличению микроскопа доктор смог идеально очистить полость от пораженных тканей, сохранив максимум здорового дентина и обеспечив надежную фиксацию пломбы. Такой подход гарантирует долговечность реставрации и предотвращает развитие вторичного кариеса.
Результат лечения глубокого кариеса с использованием операционного микроскопа. На снимке «до» — значительное кариозное поражение зуба, которое требовало ювелирной точности при обработке. На снимке «после» — зуб полностью восстановлен: анатомическая форма, цвет и функция возвращены, при этом максимально сохранены здоровые ткани. 
Лечение под микроскопом позволяет врачу видеть мельчайшие детали, недоступные невооружённому глазу. Это гарантирует идеальную очистку полости, выявление скрытых кариозных поражений и точную установку пломбы. Результат — долговечная, эстетичная реставрация и здоровые зубы на долгие годы.
Записаться

Цены

Терапевтическая стоматология
Консультация стоматолога-терапевта, (Кайгородова А.В., Лермонтова Н.Н., Блохина Е.Г., Регузова Т.В.)
1 750 ₽
Осмотр по беременности (предоставление справки)
800 ₽
Лечение кариеса эмали
5 600 ₽
Эндодонтическое лечение пульпита и периодонтита 1-канального зуба (в одно посещение, без стоимости пломбы)
11 600 ₽
Эндодонтическое лечение пульпита и периодонтита 1-канального зуба 1 этап
5 800 ₽
Эндодонтическое лечение пульпита и периодонтита 1-канального зуба 2 этап
7 200 ₽
Эндодонтическое лечение пульпита и периодонтита 2-канального зуба (в одно посещение, без стоимости пломбы)
13 200 ₽
Эндодонтическое лечение пульпита и периодонтита 2-канального зуба 1 этап
6 550 ₽
Эндодонтическое лечение пульпита и периодонтита 2-канального зуба 2 этап
7 900 ₽
Эндодонтическое лечение пульпита и периодонтита 3-канального зуба (в одно посещение, без стоимости пломбы)
17 900 ₽
Эндодонтическое лечение пульпита и периодонтита 3-канального зуба 1 этап
10 000 ₽
Эндодонтическое лечение пульпита и периодонтита 3-канального зуба 2 этап
9 000 ₽
Эндодонтическое лечение пульпита и периодонтита 4-канального зуба (в одно посещение, без стоимости пломбы)
23 100 ₽
Эндодонтическое лечение пульпита и периодонтита 4-канального зуба 1 этап
12 700 ₽
Эндодонтическое лечение пульпита и периодонтита 4-канального зуба 2 этап
13 000 ₽
Художественная реставрация зуба, 1 категория сложности
11 500 ₽
Художественная реставрация зуба, 2 категория сложности
14 300 ₽
Художественная реставрация зуба, 3 категория сложности
19 700 ₽
Временная пломба
950 ₽
Коррекция пломбы
2 650 ₽
Пломба после эндодонтического лечения зуба
6 700 ₽
Оформление справки по месту требования
850 ₽
Предварительная реставрация зуба
4 000 ₽
Реставрация режущего края
6 900 ₽
Герметизация фиссур 1 зуб
2 250 ₽
Лечение кариеса
Лечение кариеса дентина до 1/2 поверхности
7 900 ₽
Лечении кариеса дентина более 1/2 поверхности
9 500 ₽
Лечение зубов под микроскопом

Отзывы пациентов

Обратилась к доктору Лермонтовой по совету ее коллеги и очень рада, потому что Наталья Николаевна - очень внимательный, чуткий, доброжелательный врач, настоящий профессионал. Выполняет свою работу быстро, качественно и без боли. Если вы еще не нашли ... Читать далее
Светлана 25.10.2023
Обратилась к доктору Лермонтовой по совету ее коллеги и очень рада, потому что Наталья Николаевна - очень внимательный, чуткий, доброжелательный врач, настоящий профессионал. Выполняет свою работу быстро, качественно и без боли. Если вы еще не нашли своего стоматолога, рекомендую обратиться к Наталье Николаевне.
25.10.2023
Здравствуйте. Спасибо, что написали отзыв. Мы обязательно покажем его доктору. Будьте здоровы! С уважением, Татьяна Успенская, специалист по связям с общественностью.
27.10.2023
Доктор располагает к себе сразу. Внимательная, ответственная, деликатная, заботливая. Так относится к пациенту, будто делает для себя! Переделала мне пломбу, которая меня очень беспокоила, которую ранее делали и переделывали в другой клинике. Наталья... Читать далее
Светлана 12.07.2023
Доктор располагает к себе сразу. Внимательная, ответственная, деликатная, заботливая. Так относится к пациенту, будто делает для себя! Переделала мне пломбу, которая меня очень беспокоила, которую ранее делали и переделывали в другой клинике. Наталья Николаевна сделала работу идеально! Также объяснила, что было не так, и как она исправила ситуацию. Во время лечения чувствуешь себя так комфортно, чуть не засыпаешь. К каждому случаю кариеса подходит индивидуально: уже лечить или ещё понаблюдать, использовать минерализирующий гель. Не пропишет лишнего лечения. Я посоветовала доктора мужу, сестре. Тоже пролечились.[...] Это одна из лучших стоматологов, кого мы встречали в жизни. Настоящий профессионал! Очень рекомендую. Попала к врачу практически случайно. В марте я проходила в клинике УЗИ. В отделении стоматологии в это время была акция: бесплатный 3d-снимок всех зубов, консультация. Пошла, не ожидая ничего особенного. [...] Но Наталья Николаевна приятно удивила: тактичная, внимательная, в ней сразу чувствуется профессионал. После консультации я записалась на лечение.
12.07.2023
Здравствуйте. Спасибо, что нашли время написать такой подробный и приятный для доктора отзыв. Мы делаем всё возможное, чтобы наши пациенты были довольны лечением. Будьте здоровы! С уважением, Татьяна Успенская, специалист по связям с общественностью.
14.07.2023

Отзывы 2

Обратилась к доктору Лермонтовой по совету ее коллеги и очень рада, потому что Наталья Николаевна - очень внимательный, чуткий, доброжелательный врач, настоящий профессионал. Выполняет свою работу быстро, качественно и без боли. Если вы еще не нашли ... Читать далее
Светлана 25.10.2023
Обратилась к доктору Лермонтовой по совету ее коллеги и очень рада, потому что Наталья Николаевна - очень внимательный, чуткий, доброжелательный врач, настоящий профессионал. Выполняет свою работу быстро, качественно и без боли. Если вы еще не нашли своего стоматолога, рекомендую обратиться к Наталье Николаевне.
25.10.2023
Здравствуйте. Спасибо, что написали отзыв. Мы обязательно покажем его доктору. Будьте здоровы! С уважением, Татьяна Успенская, специалист по связям с общественностью.
27.10.2023
Доктор располагает к себе сразу. Внимательная, ответственная, деликатная, заботливая. Так относится к пациенту, будто делает для себя! Переделала мне пломбу, которая меня очень беспокоила, которую ранее делали и переделывали в другой клинике. Наталья... Читать далее
Светлана 12.07.2023
Доктор располагает к себе сразу. Внимательная, ответственная, деликатная, заботливая. Так относится к пациенту, будто делает для себя! Переделала мне пломбу, которая меня очень беспокоила, которую ранее делали и переделывали в другой клинике. Наталья Николаевна сделала работу идеально! Также объяснила, что было не так, и как она исправила ситуацию. Во время лечения чувствуешь себя так комфортно, чуть не засыпаешь. К каждому случаю кариеса подходит индивидуально: уже лечить или ещё понаблюдать, использовать минерализирующий гель. Не пропишет лишнего лечения. Я посоветовала доктора мужу, сестре. Тоже пролечились.[...] Это одна из лучших стоматологов, кого мы встречали в жизни. Настоящий профессионал! Очень рекомендую. Попала к врачу практически случайно. В марте я проходила в клинике УЗИ. В отделении стоматологии в это время была акция: бесплатный 3d-снимок всех зубов, консультация. Пошла, не ожидая ничего особенного. [...] Но Наталья Николаевна приятно удивила: тактичная, внимательная, в ней сразу чувствуется профессионал. После консультации я записалась на лечение.
12.07.2023
Здравствуйте. Спасибо, что нашли время написать такой подробный и приятный для доктора отзыв. Мы делаем всё возможное, чтобы наши пациенты были довольны лечением. Будьте здоровы! С уважением, Татьяна Успенская, специалист по связям с общественностью.
14.07.2023
Все отзывы

Рейтинг клиники на независимых источниках



Наши достижения

20 лет
работаем для вас
3 филиала
стараемся быть ближе
53 направления
комплексный подход
250 000 пациентов
доверяют нам своё здоровье

Свяжитесь с нами




Записаться на прием

Оставить заявку

Оставить отзыв

Оставить жалобу

Задать вопрос

Отклик на вакансию

Резюме в форматах doc, docx, pdf или rtf

Записаться на онлайн-консультацию