

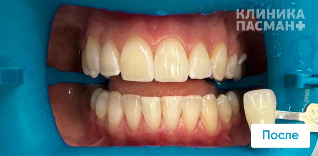
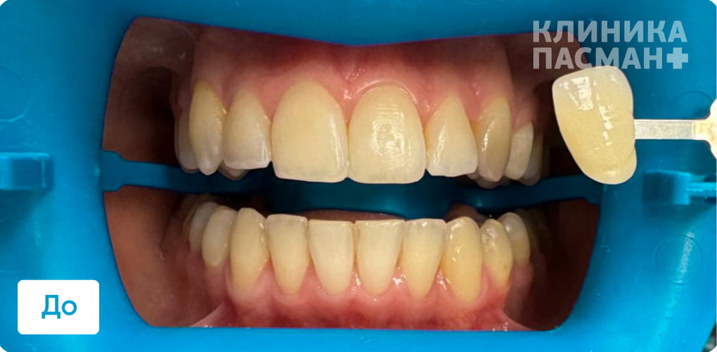
Отбеливание зубов ZOOM 4


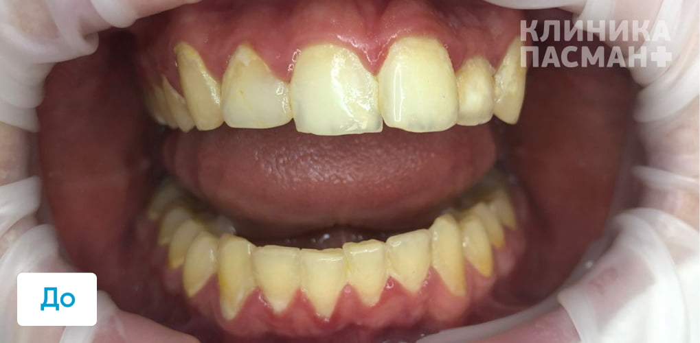
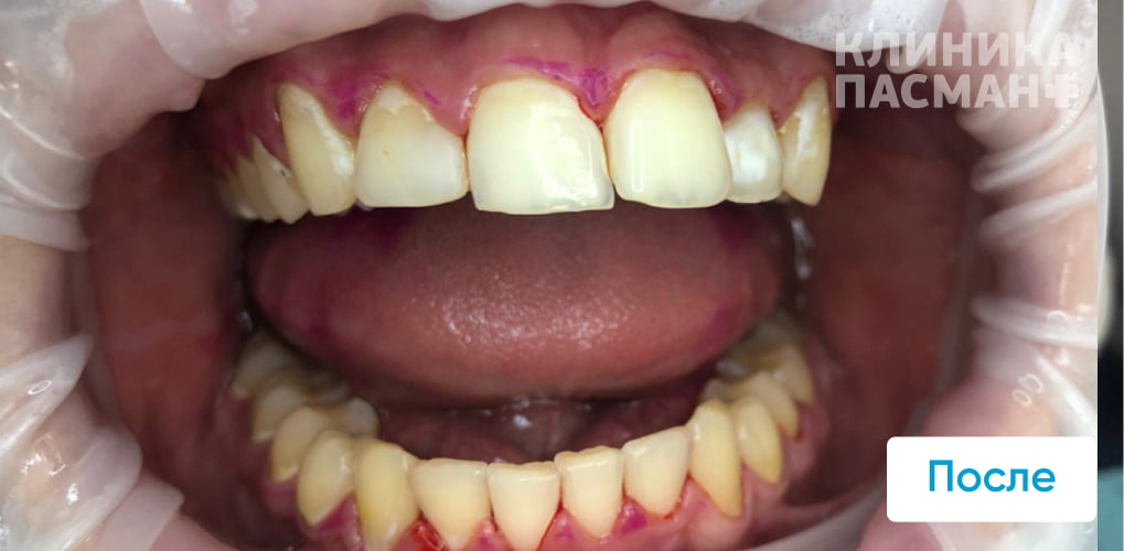
Профессиональная гигиена полости рта


Профессиональная гигиена полости рта
Светлана Евгеньевна помогает пациентам сохранить здоровье и эстетику улыбки – выполняет профессиональную гигиену полости рта, подбирает индивидуальный комплекс средств по уходу и обучает правильной гигиене.





